Em uma competição chamada de ‘They are What?‘ exibe diversas radiografias tiradas por veterinários com objetos bastante curiosos.
Recentemente a organização americana de veterinária, ou seja a Veterinary Practice News, realizou a sua edição anual do concurso chamado “They are What?”. Esta reúne os objetos mais curiosos que acabaram sendo engolidos por animais de estimação.
Os veterinários, para participar do concurso, utilizam radiografias que foram tiradas em clínicas para mostrar toda a coleção bizarra de coisas que acabaram virando jantar de bichos. Existem exemplos que vão desde controles de Playstation, caixas de cigarro, uma corrente, uma faca de caça com uma bainha, entre outros.
No quesito de comprimento, um cão de Nova Jérsei engoliu um coçador de costas com mais de 35 cm de comprimento.
Uma outra curiosidade foi uma cobra construtora, que era criada por outra família e foi levada ao veterinário, quando eles descobriram que ela havia engolido o papagaio da casa.
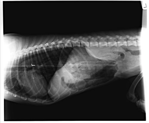
Veja um caso curioso que aconteceu na Inglaterra
Recentemente um husky chamado de Pax deu um grande susto nos donos de Brighton na Inglaterra, tudo aconteceu depois de ele engolir uma bola de tênis inteira, e acabou sendo levado as pressas para realizar uma cirurgia de emergência.
Esta era uma situação curiosa e de vida ou morte, depois da cirurgia que foi realizada de emergência o husky passou por uma recuperação rápida voltando a brincar com a dona, exibindo apenas uma cicatriz de 10 cm. O cão, assim que engoliu o objeto, foi levado ao veterinário, este que provavelmente deverá participar do concurso.


Comentários (0) Postar um Comentário